Soins pour adultes à Gaillard
Le Cabinet d’orthodontie à Gaillard propose des solutions adaptées aux adultes souhaitant améliorer l’alignement de leurs dents. Que ce soit pour des raisons esthétiques ou fonctionnelles, différentes options permettent de retrouver un sourire harmonieux et une mastication optimale.

Les raisons de choisir un traitement orthodontique à l’âge adulte :
- Réaligner les dents et donc améliorer l’esthétique du sourire
- Rétablir un rapport correct entre les mâchoires (comme chez l’adulte la croissance est terminée, il est parfois nécessaire d’avoir recours à la chirurgie orthognatique afin de corriger certains écarts importants entre les maxillaires)
- Le bon alignement des dents rend le nettoyage plus facile => ceci diminuera le risque de rétention de plaque et donc la formation des caries et des maladies parodontales (maladie des gencives)
- Éviter une usure anormalement rapide de vos dents
- Améliorer l’élocution et la mastication
- Éviter ou guérir des troubles articulaires et musculaires
L’orthodontie moderne s’adapte parfaitement aux besoins variés des adultes. Que vous cherchiez un traitement discret ou une méthode rapide, les solutions disponibles répondent aux attentes actuelles en matière de confort et d’esthétique. Les patients peuvent profiter de technologies avancées qui optimisent les résultats tout en rendant le processus plus agréable.
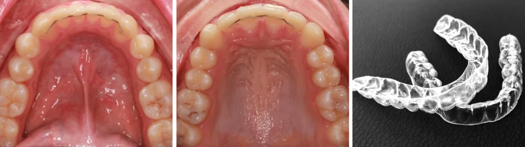
Gouttières d’alignement
Les gouttières transparentes constituent une alternative discrète aux appareils traditionnels. Elles sont conçues sur mesure pour s’adapter à la morphologie dentaire et garantir un bon maintien.
Confort et praticité
Fabriquées dans un matériau souple, les gouttières réduisent les irritations et s’adaptent facilement. Elles sont amovibles, ce qui facilite l’hygiène bucco-dentaire. Il est nécessaire de les porter 22 heures sur 24, sauf lors des repas, de la consommation de boissons chaudes et du brossage des dents.
Progression du traitement avec les gouttières
Chaque gouttière se porte entre 7 et 14 jours avant de passer à la suivante. Cette méthode permet un alignement progressif tout en préservant le confort du patient. Le traitement est quasi indolore et génère très peu d’urgences orthodontiques. Comparée aux appareils fixes, la gouttière offre une plus grande flexibilité au quotidien.

Multi-attaches céramiques
Les multi-attaches céramiques fonctionnent de la même manière que les multi-attaches métalliques. Collés sur la face externe des dents, ils sont reliés par un fil semi-rigide qui guide leur déplacement.
Avantages des multi-attaches céramiques
Les multi-attaches céramiques sont autoligaturants, ce qui permet un mouvement plus fluide et moins douloureux. Ils facilitent l’hygiène dentaire et se fondent avec la teinte naturelle des dents, offrant une solution plus discrète. Comparés aux gouttières, ils nécessitent moins de discipline en matière de port quotidien, mais restent plus visibles. Contrairement aux appareils métalliques, leur esthétique plus neutre séduit les adultes soucieux de discrétion.

Multi-attaches métalliques
Les multi-attaches métalliques restent une option efficace pour réaliser un alignement dentaire optimal. Ils sont fixés sur la face externe des dents et reliés par un fil semi-rigide.
Fiabilité des multi-attaches métalliques
Au cabinet, seuls des multi-attaches autoligaturants sont utilisés pour améliorer le confort du patient. Cette technologie réduit la pression exercée sur les dents et facilite l’entretien quotidien.
Bien que plus visibles que les multi-attaches céramiques et les gouttières, ils offrent une efficacité optimale et sont généralement plus abordables.
Pour les patients recherchant une solution rapide et efficace, les multi-attaches métalliques restent une option privilégiée.

Appareil lingual
L’appareil lingual corrige l’alignement des dents sans compromettre votre sourire. Contrairement aux bagues classiques, il se place sur la face interne des dents. Ce positionnement le rend totalement invisible. Vous bénéficiez ainsi d’un traitement discret tout en obtenant des résultats optimaux.
Comment fonctionne l’appareil lingual ?
L’orthodontie linguale repose sur un principe simple.
- Des attaches sont collées sur la surface interne des dents.
- Un arc métallique relie ces attaches et exerce une pression progressive pour aligner la dentition.
Cette technique permet d’obtenir un sourire harmonieux tout en restant discret.

Contention orthodontique
Une phase de contention est indispensable pour préserver les résultats du traitement orthodontique et éviter tout mouvement indésirable des dents après la correction. Sans cette étape, les dents peuvent retrouver leur position initiale sous l’effet des forces naturelles.
Différents types de contention à Gaillard
- Fil de contention collé : Placé sur la face interne des dents, ce dispositif discret assure une stabilisation continue sans gêner la parole ni l’alimentation. Il est recommandé pour les patients souhaitant une solution permanente et sans contrainte.
- Gouttière de maintien nocturne : Portée uniquement la nuit, elle préserve l’alignement obtenu tout en offrant une solution plus souple et amovible. Ce type de contention convient particulièrement aux patients préférant éviter un dispositif fixe.
- Combinaison des deux : Dans certains cas, l’association d’un fil collé et d’une gouttière nocturne garantit une meilleure stabilité et prévient les récidives orthodontiques.

Réponses aux qestions fréquentes :
Est-il possible de commencer un traitement à tout âge ?
Oui, l’orthodontie adulte est adaptée pour corriger les malpositions dentaires ou les problèmes fonctionnels à tout moment de la vie. Cependant, les durées de traitement peuvent varier selon la complexité des cas.
Combien de temps dure un traitement orthodontique pour adulte ?
La durée moyenne d’un traitement orthodontique adulte varie entre 12 et 24 mois. Cela dépend de la gravité des problèmes dentaires et du type d’appareil choisi.
Les appareils orthodontiques sont-ils douloureux ?
Il est possible de ressentir une légère gêne ou pression, surtout lors des ajustements ou en début de traitement. Cette sensation disparaît généralement après quelques jours.
Comment entretenir ses appareils orthodontiques ?
Pour les appareils fixes, il est essentiel de se brosser les dents après chaque repas et d’utiliser des brossettes interdentaires. Pour les aligneurs, un nettoyage régulier avec de l’eau tiède et du savon doux est recommandé.
Les appareils sont-ils visibles ?
Les multi-bagues en céramique et les aligneurs sont des solutions discrètes. Ils sont idéaux pour les adultes préférant une option moins visible.
➡️ Prendre rendez-vous en ligne au Cabinet d’orthodontie à Gaillard
L’orthodontie chez l’adulte offre de nombreuses possibilités pour améliorer le sourire et la santé dentaire. Que vous choisissiez des multi-attaches, des aligneurs ou des appareils linguals, les traitements que nous proposons au sein de notre cabinet d’orthodontie à Gaillard peuvent transformer votre quotidien. Prenez rendez-vous avec votre praticien pour explorer les options qui correspondent à vos besoins et objectifs.